种植牙前需要洗牙吗?

种植牙是现代最先进的牙齿修复方式,不是简单的拔牙、镶牙,在做种植之前要...【详细】
种植牙一颗的费用多少?

牙齿缺失使得我们想笑都笑不出来,影响自己在人心中的好印象,而微笑是人之...【详细】
全口牙种植有哪些步骤?

全口牙种植有哪些步骤?全口牙缺失的情况一般发生在老人中间,很多老人因为...【详细】
女士种植牙有哪些注意事项?

女士种植牙的注意事项。牙齿缺失不仅影响面貌美观,还影响身心的健康。于是...【详细】
种植牙术后怎么维护?

牙齿完成了种植,还需要维护才能保障种植的效果,延长种植牙的使用寿命,...【详细】
种植牙分几步完成?

种植牙分几步完成? 种植牙也叫人工种植牙,是通过医学方式,将与人体骨质...【详细】
双颌前突矫正医院哪家好?

牙齿矫正是治疗双颌前突的最理想方法,通过用矫正器和矫正手术相结合的方法...【详细】
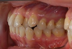
双颌前突应该怎么办?

双颌前突表现为上下牙弓和前牙均向前突出,严重者上下嘴唇不能自然闭合,形...【详细】
双颌前突矫正会痛吗?

牙齿矫正已经治愈双颌前突的最好方法,通过矫正可以恢复牙齿的自然美观的形...【详细】
双颌前突矫正术后如何护理?

双颌前突影响外貌美观,影响牙齿咀嚼功能,为身体健康埋下隐患,必须去矫正...【详细】
版权:江门穗华口腔医院
备案号:粤ICP备2025379811号
医疗广告审查证明文号:粤(J)广[2026]第03-25-020号