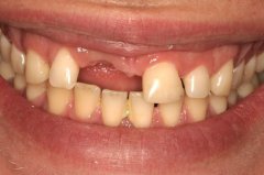
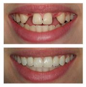
适合做前牙种植的人群

牙齿种植在国际上被认为是牙齿缺失的首选修复方式,受到了很多缺牙患者的亲...【详细】
种植牙会不会有什么后遗症?

种植牙是一个小手术,但对技术也有高要求,朋友们会担心种植牙会有什么后遗...【详细】
3D靶向种植牙手术网络现场双直播

8月23日上午9:30,全国首台现场网络双直播3D靶向种植牙手术将在暨南大学穗华...【详细】
多颗牙缺失种植贵不贵?

多颗牙缺失种植贵不贵?多颗牙缺失影响我们外貌美观和自身健康,进行牙齿修...【详细】
种植牙使用寿命有多长?

许多牙齿缺失患者会担心种植牙的使用寿命不长,种植牙使用寿命的长短除了与...【详细】
种植牙术后应该如何护理?

种植牙在咀嚼功能上有着传统假牙无可比拟的优越性,患者可以像使用天然牙一...【详细】
预防牙缺失要从儿童期开始

在儿童期,就要养成注重口腔卫生清洁的习惯,定期去看牙,提高爱牙护牙的意...【详细】
牙齿缺失有哪些危害?

牙齿是人体的重要器官之一,没有牙齿,势必影响到身体其他器官的运作。牙齿...【详细】
牙周炎会影响种植吗?

种植牙是现代比较先进牙齿修复技术,它的出现有效改变了传统假牙异物感强烈...【详细】
种植牙术后要注意什么事项?

种植牙具有稳固、美观、寿命长的特点,深受消费者的喜爱,为了能成功种植牙...【详细】
版权:江门穗华口腔医院
备案号:粤ICP备2025379811号
医疗广告审查证明文号:粤(J)广[2026]第03-25-020号