牙齿脱落了怎么办?

人生并不能一帆风顺,就像我们的牙齿,如果保护不好的话,也可能会有脱落的...【详细】
孩子意外磕掉牙齿怎么办?

小明是个爱运动的孩子,有一次在足球比赛过程中,不慎摔倒,刚巧磕掉了几颗...【详细】
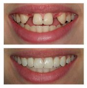
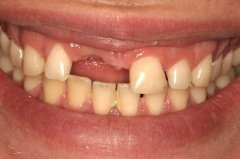
门牙缺失怎么办?

门牙就像我们人体的门卫,长期缺失不仅会破坏整个牙弓的完整性,还会影响相...【详细】
全口牙缺失种植有危险吗?

种植牙作为最好的牙齿修复方式,能够完好地替代真牙咀嚼食物。随着现代生活...【详细】
多颗牙缺失有哪些危害?

多颗牙缺失造成的危害有很多,大家都有所了解,但是还有一些危害可能大家都...【详细】
做前牙种植去哪家医院好?

随着现代医学技术的进步,种植牙技术也越来越完善,做前牙种植的方法有很多...【详细】
种植牙的分类有哪些?

种植牙具有其他牙齿修复方式所不能媲美的特点:稳固、美观、使用寿命长、不...【详细】
全口牙种植需要多少钱?

拥有一口健康美观的牙齿是每个人心中的愿想,它不但肩负起一生的身体健康,...【详细】
全口牙缺失有哪些危害?

人上了年纪牙槽骨很容易萎缩,牙齿出现松动,咀嚼不力,随后逐渐脱落。很多...【详细】
全口牙缺失选择何种修复方式好?

牙齿好,身体才好,牙齿关系到身体健康,对于我们的重要性不言而喻。而上了...【详细】
版权:江门穗华口腔医院
备案号:粤ICP备2025379811号
医疗广告审查证明文号:粤(J)广[2026]第03-25-020号