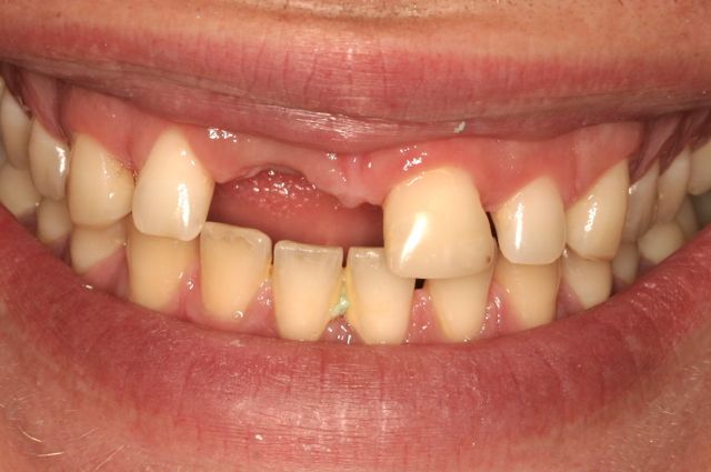
门牙就像我们人体的“门卫”,长期缺失不仅会破坏整个牙弓的完整性,还会影响相邻牙齿,使邻牙移位,严重的还会使脸部变形。拥有一口好的牙齿,能让我们自信地笑,那么门牙缺失怎么办?

门牙缺失
修复好门牙,重要的是选择对的方法。种植牙和真牙一样包括牙根和牙冠两部分,成功的种植牙外观上完全没有痕迹,因为有牙根所以功能上更牢固,因此更加适合门牙缺失的人。门牙缺失做了种植牙后清洁起来更方便,因为种植牙是仿自然牙,所以清洁种植牙就跟清洁自然牙一样简单,也没有了传统假牙的缺陷。
长时间缺牙,更容易造成不同程度的牙槽骨吸收,牙槽骨吸收导致佩戴有卡环和基托的传统假牙有困难,佩戴传统假牙固位力差,不能发挥假牙的咀嚼功能的患者,需要通过种植牙来恢复正常的咀嚼功能。
种植牙是门牙缺失的修复方式 <http://www.delunyk.com/zzyzx/>,江门穗华口腔引进国外高新技术,让国人在家门口即可享受的种植牙技术。3D靶向种植术:
1、CT3D颌面扫描,定位更精准
2、华南领先牙周科,治好牙周更长寿
3、笑气镇痛更舒适,轻松享受
4、重建咬合更和谐,坚固耐用
江门穗华口腔专家温馨提示:如果您还有其他疑问或需要帮助,还可以点击在线咨询,或者拔打免费电话:020-62266666。百度100遍,不如咨询1次。