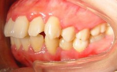
双颌前突矫正多少钱?

双颌前突多由遗传因素引起,另外口腔不良习惯,异常唇舌肌动力等均可致本病...【详细】
双颌前突矫正有副作用吗?

双颌前突给我们生活带来了很多不便和弊端,影响外貌美观之余,还会造成食物...【详细】
缺牙不补牙齿会更快掉光

缺牙不补牙齿会更快掉光 ​ 常说老掉牙、老掉牙,现如今牙齿脱落已经不再是...【详细】
双颌前突矫正安全吗?

不少双颌前突患者想接受牙齿矫正来改变牙齿形态,但是听说双颌前突矫正会留...【详细】
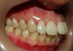
双颌前突矫正效果怎么样?

大多数双颌前突患者都接受矫正来治疗,前牙开颌是一种牙齿畸形,影响外貌美...【详细】
双颌前突矫正效果好不好?

双颌前突是一种牙齿畸形,影响外貌美观,影响口腔功能,最终影响人的身体健...【详细】
双颌前突矫正注意事项

现代医学的进步已经使得双颌前突矫正能得到很好地治疗,但是为了维护治疗的...【详细】
前牙开颌矫正医院哪家好?

牙齿矫正是治疗前牙开颌的最理想方法,通过医学的方法,用矫正器使牙齿进行...【详细】
前牙开颌应该怎么办?

前牙开颌是一种复杂,易复发的牙齿畸形,前牙开颌的范围有小有大。生活中造...【详细】
前牙开颌矫正会痛吗?

前牙开颌通过矫正治疗可以恢复口腔自然美观的形态,很多前牙开颌患者都担心...【详细】
版权:江门穗华口腔医院
备案号:粤ICP备2025379811号
医疗广告审查证明文号:粤(J)广[2026]第03-25-020号