广州牙齿错位矫正多少钱

很多牙齿错位的朋友想进行牙齿矫正,又由于事业刚刚起步,负担不起矫正费用...【详细】
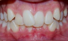
造成牙齿错位的原因有哪些?

牙齿错位的现象在生活中很常见,严重影响了颜面美观,造成牙齿错位的原因有...【详细】
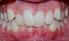
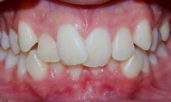
什么是牙齿错位?

牙齿错位在我们生活中很常见,是一种牙齿畸形,它的危害不可忽视,直接影响...【详细】
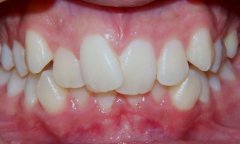
牙错位的危害有多少?

牙齿错位在生活中很常见,很多朋友都不已为然,殊不知牙齿错的危害很大,那...【详细】
你知道牙错位的危害有哪些?

牙错位的危害不可忽略,它给我们的生活带来了很大的困扰,对我们的身心造成...【详细】
牙错位矫正的佳时期

牙错位给牙错位患者带来了一系列的问题:不能开怀大笑、咀嚼食物不充分、清...【详细】
牙错位对人体有什么害处?

牙错位不仅影响颜面美观,对人体健康也产生不可忽视的影响,那么牙错位对人...【详细】
牙错位的害处表现在哪里?

很多人认为牙错位不碍事,认为没有影响到饮食,所以无关紧要,然而事实没有...【详细】
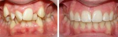
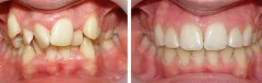
牙错位怎么矫正

一口健康整齐的牙齿是一个人气质的体现,让人绽放自信的笑容,拥有一口健康...【详细】
3D靶向种植牙直播手术在穗华口腔医院圆满落

2015年8月23日,由羊城晚报、老人报、腾讯大粤网联合主办的3D靶向种植牙手术在...【详细】
版权:江门穗华口腔医院
备案号:粤ICP备2025379811号
医疗广告审查证明文号:粤(J)广[2026]第03-25-020号