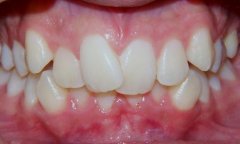
牙错位的危害有哪些?

牙错位的危害很多,对于牙错位的危害,大家了解多少呢?下文为大家介绍牙错...【详细】
牙错位怎么会出现?

拥有一口健康整齐的牙齿是每个人都想拥有的,然而往往不是事事都如人意,牙...【详细】
牙错位出现的原因和特征

在日常的生活中,我们的牙齿经常会出现各式各样的问题,比如牙齿缺损、牙齿...【详细】
牙错位矫正有哪些注意事项?

牙错位矫正可以改变牙齿错乱的局面,排齐错乱的牙齿,塑造牙齿自然美观的形...【详细】
牙错位的表现特征

所谓病从口入,牙齿有问题必定影响我们的身体健康,牙齿错位就是一种典型的...【详细】
牙错位矫正价格贵吗?

对于牙齿有缺陷的人来说,他们幻想着牙齿的改变为他们的生活所带来的美好画...【详细】
有什么方法可以快速矫正牙齿?

现代人们都希望拥有一口健康美观的牙齿,牙齿矫正可以塑造牙齿健康美观的形...【详细】
牙齿矫正知识大集合

大家是否了解过牙齿矫正到底是怎么回事,想要做牙齿矫正,必须了解好牙齿矫...【详细】
牙齿矫正的好时期

牙齿矫正有它的最好时期,很多人因为错过了牙齿矫正的黄金期,使得牙齿矫正...【详细】
牙齿错位有哪些危害

在日常生活中,很多人存在牙齿错位的现象,牙齿错位的危害很多,笼统地来说...【详细】
版权:江门穗华口腔医院
备案号:粤ICP备2025379811号
医疗广告审查证明文号:粤(J)广[2026]第03-25-020号