对于牙齿有缺陷的人来说,他们幻想着牙齿的改变为他们的生活所带来的美好画面。错位牙的朋友要想增加个人气质的魅力,进行矫正是不错的选择。但是在即将进行错位牙矫正之前,患者朋友们不得不考虑费用的问题。那么,牙错位矫正贵不贵呢?江门穗华口腔专家给大家介绍一下。

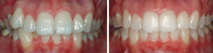
牙错位矫正前后对比
影响牙错位矫正价格的因素
1、牙错位费用与专家有关。整牙手术是否安全的关键在于专家是否具有流行的时尚审美观和熟练的技术,技术成熟的专家矫正的效果当然费用比较高。
2、牙错位费用与整牙方案有关。单纯因为牙齿的排列错乱造成的龅牙、地包天,上下颌骨的发育及位置正常,此类畸形牙齿不用动手术,只需请口腔科医生重新排列牙齿即可,价格相对便宜;如果牙齿畸形是由颌骨发育异常造成的,则需要采用整形手术来治疗,价格相对高一点。
3、牙错位费用与矫正技术有关:不同的矫正技术,所需要花费的时间和采用的材料不同,价格自然也不同,并不是贵的就是的,主要是要看哪种技术对矫正自己的牙齿有效果。所以,建议大家还是到正规医院去进行治疗,只有正规的医院,医生会根据您自身情况的不同而制定适合您的方案。
4、牙错位费用与医院有关。专业正规的医院在价格的收取上是明码标价的。专业的医院所拥有的医资,设备,技术,层次的不同,也影响了成人整牙价格的高低。
选择一家好的医院,挑选好的医师,给自己的牙齿矫正。穗华口腔医院是拥有百年人文底蕴的暨南大学附属口腔医院临床教学医院,是广东省卫生厅批准成立的口腔专科医院,是集口腔诊疗、教学和科研为一体的现代化口腔综合医院,是您看牙的放心信赖之选!如果您还有其他疑问或需要帮助,还可以点击在线咨询,或者拔打免费电话:020-62266666。百度100遍,不如咨询1次。