一口健康整齐的牙齿是一个人气质的体现,让人绽放自信的笑容,拥有一口健康整齐的牙齿是我们所渴望的。牙错位作为一种常见的牙齿畸形,不但影响个人美观,而且严重的话还会威胁到口腔健康,从而导致一些列的口腔疾病,如牙错位容易导致食物嵌塞,而食物嵌塞引发龋齿、牙周病等口腔疾病。那么牙错位怎么矫正?下文为大家揭晓一下。

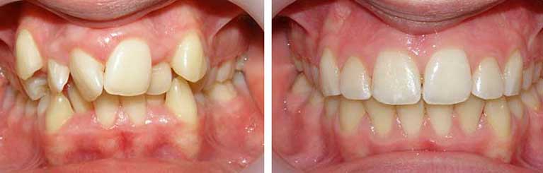
牙错位矫正前后对比
牙错位矫正方法
美容修复牙齿技术是流行于欧美、日韩的一种新兴牙齿美容技术,美容修复优势有哪些?在传统烤瓷牙的基础上强调牙齿的美容效果,对错位牙、畸形牙的临床部分施以多重专业技术,用美容修复修复。美容修复优势有哪些?具有美牙不拔牙、无痛苦、时间短、牙齿坚固、多年后牙龈不会出现黑线,并能更好保护牙齿等优点,从而达到持久保障的美牙效果。
江门穗华口腔的“仿生美容修复修复”技术是仿生设计学的科技成果,是在“美容修复”牙齿美容技术上新的突破,是烤瓷牙的终升级。仿生美容修复技术更强调牙齿的美容效果,对错位牙、畸形牙的临床冠部分施以专业手段,后用仿生美容加以修复。不仅具有美牙不拔牙,无痛苦,时间短,牙齿坚固,多年后牙龈不会出现黑线等优点。从而达到终生有保障的美牙效果。它在牙齿的“形态”、“色泽”、“功能”、“结构”、“相容”等各个方面完全比照真正牙齿,每颗仿生冠都由外部的瓷结构、中间的瓷粉、内部的进口瓷经由1120度高温融合而成,在结构上与真牙的牙釉质、牙本质完全相同。
1.美观大方:“美容修复”牙齿美容技术采用数码科技,分析你的牙齿形态以及病症,再采用3D定位系统,由专业的美容牙医为你制定美牙方案,成形后的牙齿美观大方,像真牙一般不易分辨。
2.色泽逼真:采用德国VITA比色技术,根据就诊者不同的牙色,通过26个牙色层次化类比,使成形后的牙齿达到完美的色调统一、天然逼真,常年保持美丽天然的光泽。
3.不拔牙、安全无痛:采用美国WIND无痛技术,美牙不需动及牙齿根部,彻底解除你爱美又怕痛的顾虑。整个过程在轻松的音乐氛围中完成。
4.比正常牙齿更坚固:“美容修复”比传统烤瓷牙更坚固,科技的粘贴技术,终生不脱落。数据分析显示,经美容修复后的牙齿至少可以承受50公斤拉力。
5.高效快速:科技成果的应用,只需间隔7天时间就可轻松拥有一口靓牙。
选择一家好的医院,挑选好的医师,给自己的牙齿矫正。穗华口腔医院是拥有百年人文底蕴的暨南大学附属口腔医院临床教学医院,是广东省卫生厅批准成立的口腔专科医院,是集口腔诊疗、教学和科研为一体的现代化口腔综合医院,是您看牙的放心信赖之选!如果您还有其他疑问或需要帮助,还可以点击在线咨询,或者拔打免费电话:020-62266666。百度100遍,不如咨询1次。