烤瓷牙失败修复后会不会复发?

烤瓷牙失败症状主要包括:烤瓷牙脱落、咀嚼不良、色泽欠佳、形态不理想、牙...【详细】
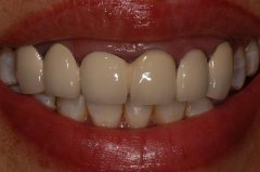
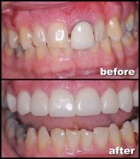
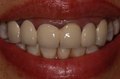
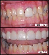
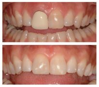
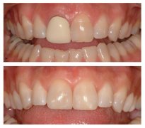
牙齿美容修复术完美解决烤瓷牙失败

很多爱美人士都非常担心做过烤瓷牙出现牙龈发炎红肿、烤瓷牙于牙龈处出现黑...【详细】
烤瓷牙失败修复哪间医院好?

对于烤瓷牙失败修复,对技术要求非常高,江门穗华口腔专家建议患者需要谨慎...【详细】
广州烤瓷牙失败修复需要多少钱?

很多爱牙人士在做过烤瓷牙修复后,出现牙龈发炎红肿、烤瓷牙于牙龈处出现黑...【详细】
烤瓷牙失败会造成哪些伤害?

烤瓷牙是传统的一种非常理想的修复体,能够在短时间内快速修复各类畸形牙齿...【详细】
烤瓷牙失败的原因是什么?

早几年前烤瓷牙修复是一种流行的修复牙齿的方式,它是运用合金制成金属基底...【详细】
双星:苏炳添和莫有雪

自8月29日晚中国男子接力队创造新的历史成绩后,全世界的目光都投向了培养了...【详细】
11月15日韩国著名口腔正畸专家坐诊穗华

11月15日韩国著名口腔正畸专家李度勳坐诊穗华 韩国极速牙齿矫正创始人李度勳...【详细】
微笑广州•十月口腔敬老月

近日,由暨南大学穗华口腔医院 、广州市天河区文明委、广州市文明办、天河...【详细】
什么是美国3MLava全瓷牙?

美国3MLava全瓷牙为极佳的系统,不用改变修磨与印模的方式;与陶瓷烧附金属修...【详细】
版权:江门穗华口腔医院
备案号:粤ICP备2025379811号
医疗广告审查证明文号:粤(J)广[2026]第03-25-020号