烤瓷牙失败症状主要包括:烤瓷牙脱落、咀嚼不良、色泽欠佳、形态不理想、牙龈着色、崩瓷、连同牙齿一起断裂、牙龈、牙周病变等方面。烤瓷牙失败通过牙齿美容修复,那么修复后会不会复发呢?下面听听江门穗华口腔专家的解说。

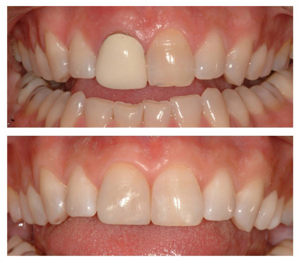
烤瓷牙失败修复前后对比
穗华口腔专家指出:综合来说,牙齿美容修复在整体效果上是优胜于烤瓷牙的,可以说是烤瓷牙的延伸。牙齿美容修复是在烤瓷牙修复牙齿的基础上,更加进了对牙齿的美容效果,并且很好地避免了烤瓷牙的弊端,牙齿美容修复修复失败烤瓷牙是不会再复发的了。
针对烤瓷牙失败这个问题,穗华口腔专家根据患者牙齿情况,进行相应的治疗,再以牙齿美容修复进行修复。穗华“牙齿美容修复是引进欧洲全新的牙齿美容技术,它是欧洲仿生设计学的科技成果,在“牙齿美容修复”牙齿美容技术上新的突破。对错位牙、畸形牙的临床冠部分施以专业手段,后用牙齿美容修复加以修复。并将牙冠在外观、性能上的优势发挥到,是牙冠的形态及功能如同真牙,达到与口腔环境的完美融合。
选择一家好的医院 挑选好的医师
穗华口腔医院是拥有百年人文底蕴的暨南大学附属口腔医院临床教学医院,是广东省卫生厅批准成立的口腔专科医院,是集口腔诊疗、教学和科研为一体的现代化口腔综合医院,是您看牙的放心信赖之选!
关于烤瓷牙失败修复会不会复发的问题,相信你已经有所了解。由于篇幅有限,如果您还有其他疑问或需要帮助,还可以点击在线咨询,或者拔打免费热线:020-62266666。百度100遍,不如咨询1次。