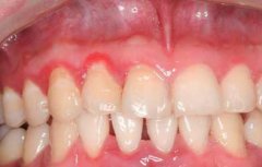
牙周炎是怎么引起的?

牙周炎是一种破坏性疾病,它是导致成年人牙齿丧失的主要原因。由于该病早期...【详细】
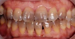
四环素牙如何美白?

四环素牙(tetracycline pigmentation teeth)是一种在牙齿发育期中对四环素族药物使用不...【详细】
补牙后牙疼怎么办?

补牙后近期出现刺激痛或自发痛的原因可能是充填材料中的某些化学物质刺激牙...【详细】
牙周炎可以治愈吗?

牙周炎是一种常见的口腔炎症,会使患者感到明显疼痛与不适, 那么牙周炎可...【详细】
窟牙齿的佳年龄

窟牙又称矫牙,在临床上是无年龄限制的,不过为了最完美的矫正效果,窟牙还...【详细】
牙齿根管治疗步骤

根管治疗术适用于被诊断为牙髓或者根尖周病的患牙,需要摘除牙髓组织和清除...【详细】
孩子牙齿发黑怎么办?

孩子牙齿出现问题常常得不到重视,尤其是孩子的乳牙,许多人会认为反正要换...【详细】
龋齿是什么意思?

龋齿俗称虫牙、蛀牙,是细菌性疾病,可以继发牙髓炎和根尖周炎,甚至能引起...【详细】
假牙多久换一次?

牙齿缺失后可影响面容、发音、咀嚼功能,增加肠胃负担,若不及时修复还可出...【详细】
微笑广州•爱牙公益基金全城援助

微笑广州大型口腔健康公益行 近日,由 暨南大学穗华口腔 、广州市天河区文明...【详细】
版权:江门穗华口腔医院
备案号:粤ICP备2025379811号
医疗广告审查证明文号:粤(J)广[2026]第03-25-020号