8月8日口腔健康专家大讲堂在穗华医院开讲

年龄一大,各种口腔问题就接踵而来。您是否有过这样的体会?因为牙齿脱落,...【详细】
牙齿不齐矫正有副作用吗?

牙齿矫正作为恢复牙齿自然美观的形态的方法,已经被大多数人所接受,但也有...【详细】
牙齿不齐矫正安全吗?

不少牙齿不齐的患者都想接受牙齿矫正,但是又听信了一些牙齿矫正会留下后遗...【详细】
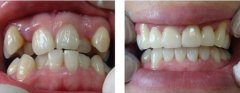
牙齿不齐矫正效果怎么样?

牙齿不齐阻碍很多人的面部美观,现时代是个注重外部形象的今天,很多人都通...【详细】
牙齿不齐矫正效果好不好?

现代社会,越来越多的爱美者对于牙齿不齐感到非常烦恼,因此都选择牙齿矫正...【详细】
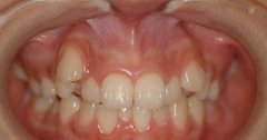
牙齿不齐矫正注意事项

牙齿不齐是常见的一种口腔畸形,表现为牙齿歪斜不正,刷牙不容易清洁干净,...【详细】
广州口腔医院排名

穗华口腔医院拥有暨大百年人文底蕴 广州口腔医院排名。 暨南大学穗华口腔医...【详细】
牙间隙矫正注意事项

在社会经济高速发展的今天,良好形象是社交成功的重要因素,牙齿间隙大不仅...【详细】
地包天矫正医院哪家好?

现代人们对于自己的牙齿越来越重视了,对于牙齿畸形,都会到医院进行矫正。...【详细】
地包天怎么办?

地包天是一种常见的牙齿畸形,越早矫正越容易,效果也越好。在不同的年龄阶...【详细】
版权:江门穗华口腔医院
备案号:粤ICP备2025379811号
医疗广告审查证明文号:粤(J)广[2026]第03-25-020号