2015羊城晚报老人报口腔健康专家大讲堂隆重举行

8月8日,由羊城晚报、老人报主办的口腔健康专家大讲堂今天于暨南大学穗华口...【详细】
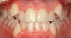
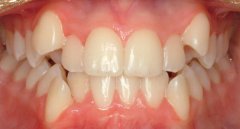
前牙开颌矫正安全吗?

不少前牙开颌患者想接受牙齿矫正,但是,由于听信了一些牙齿矫正会留下后遗...【详细】
前牙开颌矫正效果怎么样?

大多数前牙开颌患者都接受矫正来治疗,前牙开颌是一种牙齿畸形,影响外貌美...【详细】
前牙开颌矫正效果好不好?

前牙开颌是一种牙齿畸形,影响外貌美观,影响口腔功能,最终影响人的身体健...【详细】
前牙开颌矫正注意事项

前牙开颌可以通过矫正术来重塑牙齿美观整齐的形态,为了保证前牙开颌的矫正...【详细】
牙列拥挤矫正医院哪家好?

牙齿矫正是解决牙齿畸形的最理想方法,通过医学的方法,用矫正器使牙齿进行...【详细】
牙列拥挤应该怎么办?

牙列拥挤是最常见的一种牙齿畸形,表现为牙齿的大小正常或过宽,牙呈各种方...【详细】
牙列拥挤矫正会痛吗?

牙列拥挤必须通过矫正治疗,才能使牙齿变得健康美观,然而很多牙列拥挤朋友...【详细】
牙列拥挤矫正术后如何护理?

牙列拥挤矫正之后,为了维持矫正术后的效果,还需要注意矫正后的护理, 那...【详细】
牙列拥挤矫正多少钱?

现代大众都能接受牙列拥挤矫正来恢复牙齿自然美观的形态,对于牙列拥挤矫正...【详细】
版权:江门穗华口腔医院
备案号:粤ICP备2025379811号
医疗广告审查证明文号:粤(J)广[2026]第03-25-020号