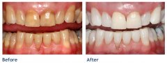
牙齿发黄是为什么?

在生活中,牙齿发黄让我们面临很多困扰,比如不敢面对别人绽放笑容,影响了...【详细】
病态的牙齿发黄有什么因素?

有些人在刷完牙后,牙齿呈现微微淡黄透亮的色泽,这是属于健康的情况,但是...【详细】
牙齿发黄怎样美白效果好?

拥有一口健康美观的牙齿是现代人的愿想,一口好牙能够为形象加分,能够让笑...【详细】
导致牙齿发黄的原因

牙齿发黄让人厌恶,影响口腔健康和形象美观,给生活带来了很多不便,不利于...【详细】
成年人有茶渍牙怎么快速美白?

小玲,26岁,已经到了可以谈婚论嫁的年龄了,家里给安排了几次相亲,在相亲...【详细】
如何摆脱色素牙?

现代人消遣方式很多,比如咖啡、红酒、吸烟,长期接触就会导致牙齿变色,成...【详细】
咖啡牙美白用什么方法好?

现代白领都饮用咖啡来提神,让自己一天的工作更有效率,但是长期饮用咖啡又...【详细】
色素牙美白去哪里好?

牙齿上有色素,不能通过刷牙解决问题,牙齿显得很不干净,给人不雅的形象,...【详细】
咖啡牙如何美白效果好?

现在白领都喜欢喝咖啡提神,在精神百倍的状态下,工作效率自然也高,但是咖...【详细】
遗传性色素牙如何美白?

洁白整齐的牙齿是每个人都想拥有的,可是并不是每个人都能拥有的,有些人的...【详细】
版权:江门穗华口腔医院
备案号:粤ICP备2025379811号
医疗广告审查证明文号:粤(J)广[2026]第03-25-020号