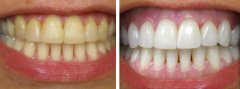
抽烟导致牙齿发黄要如何美白?

江门穗华口腔专家介绍说:长期抽烟会导致牙齿发黄,更有甚者牙齿发黑。牙齿...【详细】
临床医学虚拟仿真实验教学中心获批“省级示范

日前,广东省教育厅印发了《关于公布2015年广东省本科高校教学质量与教学改...【详细】
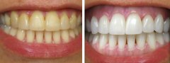
色素牙美白后如何护理?

色素牙可以通过美白恢复牙齿的洁白动人,色素牙在美白后,还要通过护理,才...【详细】
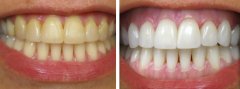
茶渍牙采用什么美白技术好?

在现代,因为喝茶形成茶渍牙不在少数,茶渍牙影响形象美观,令笑容难以启齿...【详细】
不同程度的茶渍牙怎么美白?

喝茶已经成为现代生活的一种品味,你是否在喝完茶后没有及时清洁牙齿,是否...【详细】
牙齿如何快速无痛变白?

穗华口腔专家指出:牙齿色素沉淀在生活中很常见,针对这一情况,牙齿美白技...【详细】
牙齿如何快速无痛变白?

穗华口腔专家指出:牙齿色素沉淀在生活中很常见,针对这一情况,牙齿美白技...【详细】
牙齿刷不干净怎么办?

有人会遇到这种情况,天天刷牙,牙齿还是好黄,好像刷不干净那样。一口洁白...【详细】
牙齿美白疑问全解答

明眸皓齿,自古便是对美人的描绘,但是在现实生活中,很多人经常被黄牙困扰...【详细】
茶渍牙会带来哪些弊端?

品茶品生活,喝茶已经是我们一种良好的生活习惯。茶里含有一种生物碱,在酸...【详细】
版权:江门穗华口腔医院
备案号:粤ICP备2025379811号
医疗广告审查证明文号:粤(J)广[2026]第03-25-020号