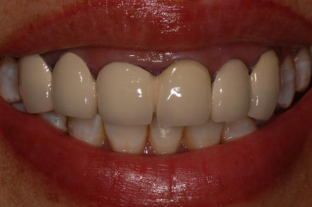
早些年前,许多牙齿患者只能通过传统烤瓷牙来修复各种牙齿问题。刚做了烤瓷牙会感觉不错,但时间一长问题就接连出现问题了,例如牙龈发炎红肿、烤瓷牙于牙龈处出现黑线等,这意味着烤瓷牙失败。

烤瓷牙失败
江门穗华口腔专家告诉你,烤瓷牙失败不仅影响容貌美观,还会影响心理健康。通常烤瓷牙失败后牙龈会红肿甚至发黑,口腔存有异味,口气严重令人不敢靠近,对人相互间的交流和沟通造成了障碍,慢慢地也就对生活失去了信心。这是由于来自社会对烤瓷牙失败患者的反应可严重影响到患者对社会生活的适应性,这些患者往往表现出自卑和悲观,在正常的社交、择业和择偶时遇到挫折,从而产生心理障碍,甚至表现出内向、孤僻、不合群性格等。因此,对于烤瓷牙失败患者,即使是程度很轻,也应根据其心理需求而及时治疗。
牙齿美容修复技术解决烤瓷牙失败
针对烤瓷牙失败这个问题,江门穗华口腔专家指出:应根据患者牙齿情况,进行相应的治疗,再以牙齿美容修复进行修复。穗华“牙齿美容修复引进欧洲全新的牙齿美容技术,它是欧洲仿生设计学的科技成果,是牙齿美容技术上新的突破。对错位牙、畸形牙的临床冠部分施以专业手段,后用牙齿美容修复加以修复。并将牙冠在外观、性能上的优势发挥到,是牙冠的形态及功能如同真牙,达到与口腔环境的完美融合。
对于烤瓷牙失败了怎么办的问题,相信你已经有所了解。穗华口腔医院是拥有百年人文底蕴的暨南大学附属口腔医院临床教学医院,是广东省卫生厅批准成立的口腔专科医院,是集口腔诊疗、教学和科研为一体的现代化口腔综合医院,是您看牙的放心信赖之选!由于篇幅有限,如果您还有其他疑问或需要帮助,还可以点击在线咨询,或者拔打免费热线:020-62266666。百度100遍,不如咨询1次。