舌侧隐形矫正技术是国际上近些年来兴起的正畸技术,它是将矫治器全部藏在牙齿的舌头那一面,实现完全隐形。穗华口腔引进个性化舌侧隐形矫正体系,通过激光三维扫描,然后在计算机上三维建模完成托槽的设计,精密铸造托槽;后由机械手完成弓丝的成型,克服了传统舌侧矫治器的局限性。下面请听听江门穗华口腔专家的介绍。

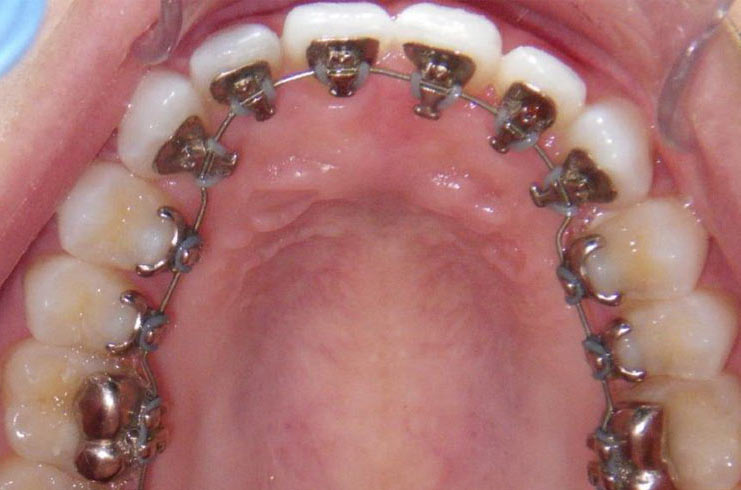
舌侧矫正
舌侧隐形矫治器是现代正畸学的理念与的计算机辅助设计制造技术相结合的产物,跟据牙齿“量身定做”的的矫治器,尽显您牙齿的珍贵。其的设计为您的舌头提供程度的舒适度,显着缩短您言语的适应过程。
穗华口腔eBrace舌侧隐形矫正技术是由穗华口腔正畸名家孔卫东博士领衔的医疗团队发明的牙齿矫正技术。区别于传统的唇侧矫治技术,eBrace舌侧隐形矫正技术是将矫正器全部藏在牙齿的背面,能让您在旁人毫无察觉中完成牙齿矫正。
舌侧矫正具有以下优点:
1、技术先进。采用计算机辅助设计制造CAD/CAM和数字投影快速成型DLP等先进技术。
2、完全隐形。托槽在牙齿背面,既保护了隐私,因无遮挡,也便于医生观察牙齿移动情况。
3、避免口腔损伤。避免唇侧牙釉质受酸蚀剂作用脱钙;避免运动中矫正器对唇部的损伤。
4、量齿定做。根据牙齿终理想状态而设计的各阶段的个性化弓丝和托槽。
选择一家好的医院,挑选好的医师,给自己的牙齿矫正。穗华口腔医院是拥有百年人文底蕴的暨南大学附属口腔医院临床教学医院,是广东省卫生厅批准成立的口腔专科医院,是集口腔诊疗、教学和科研为一体的现代化口腔综合医院,是您看牙的放心信赖之选!如果您还有其他疑问或需要帮助,还可以点击在线咨询,或者拔打免费电话:020-62266666。百度100遍,不如咨询1次。