牙错位令牙齿特别难看,想笑又不敢笑,担心露出难看的牙齿,因此让人觉得很不自然。牙错位可以通过牙齿矫正改变牙齿形态,重现牙齿的自然美观。那么牙错为矫正效果怎么样?下文为大家揭晓一下。

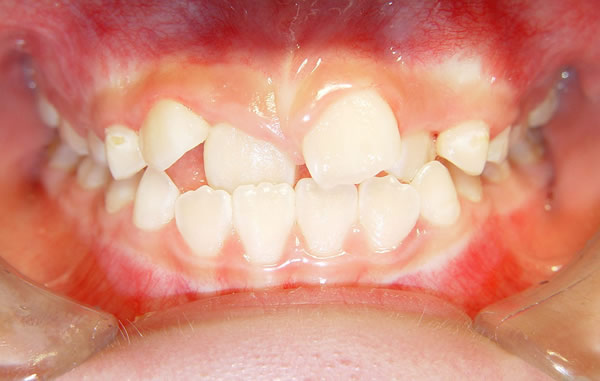
牙错位
牙错位矫正效果怎么样?具体情况具体分析
传统的矫正牙错位有多种办法,如扩大牙弓、减少牙齿的数目及将磨牙向后方推移等,从而达到矫治的目的。对某些牙错位严重而又无法直接利用矫治器进行矫正的。如牙弓内有龋齿、牙周病或严重错位的牙齿时,也可以直接将其拔除。以便留下适当的空隙,让其他牙齿重新排列整齐。如果你担心拔牙会痛的话,你也可以选择美容冠。美容冠能够快速矫正牙齿的治疗,对龅牙,排列歪斜牙,畸形牙以及色素牙有快速彻底的矫正修复,不用拔牙,只需要短短几天的时间,就能让你的牙齿达到整齐洁白的效果,牙龈终身不出现黑线,可以达到一辈子的美牙效果。
选择正规医院,挑选好医师,给自己的牙齿矫正。穗华口腔医院是拥有百年人文底蕴的暨南大学附属口腔医院临床教学医院,是广东省卫生厅批准成立的口腔专科医院,是集口腔诊疗、教学和科研为一体的现代化口腔综合医院,是您看牙的放心信赖之选!
由于篇幅有限,本文就为大家介绍这么多,关于牙错位矫正效果怎么样?如果您还有疑问或想了解更多,可点击在线咨询,届时与我院专家一对一沟通交流。